Классификация
Знание принципов классификации позволит без труда определить причину, вид и тяжесть плеврита, лишь увидев диагноз. Наиболее распространенный вариант классификации представлен в таблице ниже.
| По этиологии |
|
| По наличию/отсутствию экссудата и клинической картине |
|
| По характеру экссудата |
|
| По течению |
|
| По типу распространения экссудата в плевральной полости |
|
Классификация по характеру экссудата дает очень много информации о заболевании. Например, фибринозный экссудат прогностически благоприятен и чаще всего самостоятельно рассасывается, хилезный говорит о патологии лимфатической системы, а геморрагический — о травматическом характере плеврита или тромбоэмболии легочной артерии.
Симптомы плеврального выпота
Плевральные выпоты могут быть бессимптомными и случайно обнаруживаются при рентгенографии или физикальном обследовании грудной клетки. Многие вызывают одышку, плевритическую боль в грудной клетке.
При физикальном обследовании выявляют притупление при перкуссии и ослабление дыхательных шумов на стороне выпота, отсутствует голосовое дрожание. Это может быть вызвано утолщением плевры. Дыхание поверхностное и частое. Не Шум трения плевры редок, но это классический признак, выраженность которого колеблется от непостоянных звуков, совпадающих с дыханием, до интенсивного жесткого трения. Плевроперикардиальный шум может меняться при сокращениях сердца, и могут быть приняты за шум трения перикарда. Он слышен по левой границе грудины в III и IV межреберьях.
О плевральной дренажной трубке и клапане Pneumostat
Плевральная дренажная трубка — это гибкая трубка, которая вводится между ребрами в плевральную полость. Плевральная полость — это пространство между внутренней и внешней оболочкой легких. Pneumostat — это односторонний клапан, подсоединенный к плевральной дренажной трубке (см. рисунок 1). Плевральная дренажная трубка и клапан Pneumostat выпускают из грудной клетки лишний воздух, лишнюю жидкость или и то, и другое. Это позволяет легким полностью расшириться.

Рисунок 1. Плевральная дренажная трубка и клапан Pneumostat для дренирования грудной клетки
Длительность использования плевральной дренажной трубки и клапана Pneumostat зависит от проведенной вам операции. Это также зависит от количества выделяемой жидкости. Оно не одинаково для всех. У некоторых людей количество выделяемой через дренаж жидкости большое, у некоторых — нет. Вас могут выписать из больницы с установленной плевральной дренажной трубкой и клапаном Pneumostat, если после операции все еще выделяется жидкость или наблюдается утечка воздуха из легких.
Подготовка к манипуляции
Перед проведением операции не помешает проведение рентгена, ультразвукового исследования сердечной мышцы, ЭКГ, в случае необходимости назначают КТ с применением контраста. Такой подход позволит уменьшить риски осложнений. В день, на который назначена манипуляция, требуется отмена всех прочих диагностических либо терапевтических мероприятий, отказ от приема медикаментов, исключая необходимые для жизнедеятельности.
Необходимо также исключить физические нагрузки, эмоциональные стрессы, следует воздержаться от курения. Перед процедурой опорожняют не только кишечник, но также мочевой пузырь.
Однако достаточно часто плевральная пункция проводится в спешном порядке, в случае диагностирования массивного плеврита, при сильных одышках, когда специалиста срочно вызывают на дом – при этом нет времени на особую подготовку, обследование. В процессе могут применяться 3% йод, 70% этиловый спирт, 0,5% новокаин.
Пациент принимает удобное положение, врач проводит постукивания, определяя требуемое место с наибольшей толщиной выпота. Основная цель – снизить объем скопившейся жидкости.
Показания к проведению пункции плевральной полости
Когда следует проводить операцию и насколько реально делать это в домашней обстановке? Основное обстоятельство, указывающее на данную необходимость – подозрение на то, что произошло накопление жидкости в области плевральной полости. Это может быть кровь либо экссудат, возможно и наличие воздуха.
Манипуляцию производят при следующих состояниях:
- развитие экссудативного плеврита;
- подозревается гидроторакс либо пневмоторакс, как спонтанный, так и травматический;
- опухоль либо эмпиема плевры;
- наличие гемоторакса либо хилоторакса.
Извлеченное посредством вмешательства плевральное содержимое используют для проведения диагностических мероприятий посредством бактериологических, цитологических либо физико-химических анализов. После устранения жидкости либо воздуха из полости плевры назначают ее промывание.
Пункция может служить и для введения фармацевтических препаратов – противомикробных и антисептических веществ, протеолитических ферментов, средств против новообразований и гормонов
Учитывая относительную простоту операции, квалифицированный специалист может провести ее и в домашних условиях при соблюдении всех мер предосторожности и правильной подготовке.
Эпидемиология
Заболевание определяют более чем у 20% пациентов ОРИТ. Только массивный плевральный выпот с резко выраженной одышкой может быть причиной госпитализации в ОРИТ, в других случаях это осложнение. При ТЭЛА он выявляется у 40%, при пневмонии — у 40-60% случаев, при застойной сердечной недостаточности — у 50% случав, при ВИЧ-инфекции — у 7-27% больных. Плевральный выпот может возникнуть при повышенной проницаемости плевральных листков, обструкции лимфатических путей оттока, уменьшении онкотического давления плазмы крови, увеличении давления в легочных капиллярах и снижении отрицательного внутриплеврального давления. В плевральной полости содержится не более 30 мл жидкости при общей продукции жидкости примерно 0,3 мл/кг в сутки. Плевральный выпот — свидетельство опасной патологии легких или внелегочной патологии. В норме дренажная система плевральных полостей справляется с притоком жидкости около 700 мл.
Техника забора пункции
Для забора пункции врач усаживает пациента на перевязочный стол. Больной помещает ноги на специальную подставку, а туловищем опирается на стул. Рука, находящаяся со стороны манипуляции, закидывается на противоположное предплечье.
На протяжении всей манипуляции врач находится в стерильных перчатках и маске. В первую очередь он обезболивает место прокола, как и при обычной операции. Предварительно пациенту проводится проба на анестезирующий препарат, чтобы исключить аллергическую реакцию
Важно заметить, что обезболиваются не только кожные покровы, но и подкожная клетчатка с межреберными мышцами
Далее, с помощью шприца производится пункция плевральной полости. Выполняют её на участке, который находится чуть выше верхнего края ребра. Игла вводится очень аккуратно, пока полностью не пройдёт сквозь межреберные ткани. Когда специалист перестаёт ощущать сопротивление иглы при давлении, значит, она достигла назначенного места.
Следующий шаг – проверка плевральной полости на наличие воздуха. Манипуляция прокола повторяется с помощью стерильной иглы. На насадке закрепляется специальный прибор для определения давления – манометр. Если шкала выдаёт показатели ниже атмосферного давления, значит, отклонений от нормы нет. В противном случае пациент подготавливается к дренированию.

Какие методы дренирования бывают
Специалисты разных стран в течение длительного времени совершенствовали плевральное дренирование, разрабатывая новые методы его проведения. Современные подходы не только упростили задачу врачей, но и в значительной мере сократили время самой манипуляции:
- Вакуумный метод Редона.
- Закрытый вакуумный метод.
- Метод Субботина.
- Активная аспирация.
Вакуумный метод Редона
В медицинскую ёмкость набирают кипяченую воду и плотно закрывают резиновой крышкой. Процесс охлаждения жидкости сопровождается разряжением. При подключении к выводящему катетеру можно вытянуть до 180 мл экссудата.

Закрытый вакуумный метод
Суть заключается в откачивании воздуха из герметичной тары Шприцом Жане, после чего к ней подводится трубка. Важным условием данного метода является полная герметичность сосуда.

Метод Субботина
Для этого способа понадобятся 2 герметические ёмкости, которые будут фиксироваться одна над другой с помощью трубки. Из верхней вода будет поступать в нижнюю, увеличивая, таким образом, свободное пространство. Возникшее разряжение провоцирует вытягивание воздуха в верхнюю емкость, что способствует нормализации давления. На момент прокачки воздуха в нижнем сосуде давление временно понижается. Дренажная трубка проводится к одной из емкостей, за счёт чего до окончания переливания воды обеспечивается её стимуляция.

Активная аспирация
Это самый эффективный метод, который, помимо откачивания экссудата, способствует быстрейшему заживлению технологической раны. Активная аспирация предполагает соединение стеклянной трубочки с гибкой трубой. Последняя ведёт к водоструйному насосу. Откачка производится насосом, при этом манометр контролирует давление. По водяной струе определяют разряжение.

Осложнения пункции
Следует знать – после устранения выпота увеличивается толщина плевры, соответственно снижается дыхательный объем. Иногда необходимо проведение операции, призванной восстановить дыхание – декортикации, в процессе которой снимается часть плевры.
Помимо того, процедура может привести к ряду осложнений, среди которых:
- Проколы органов – легких, печени или селезенки, диафрагмы либо желудка.
- Кровотечение внутри плевры.
- Кровотечение в зоне прокола.
- Воздушная эмболия мозга, затрагивающая сосуды головы.
В процессе манипуляции может резко понизиться АД, не исключен обморок, пневмоторакс в результате прокола, гемоторакс из-за накопления крови внутри плевры. Не исключен риск инфицирования полости при нарушениях на этапе обработки антисептиками. Наличие любого из осложнений становится основанием для остановки процедуры, извлечения иглы, вызова хирурга.
В случаях, когда развивается воздушная эмболия, требуется помощь реаниматолога, невропатолога. Во избежание осложнений проведение пункции должно проводиться опытным специалистом, клиника «Доктор Плюс» гарантирует квалифицированную помощь при необходимости проведения данной операции с выездом врача на дом.
| Цены на прием хирурга в клинике и на дому | |
| Первичный прием хирурга | 900 pублей |
| Повторный прием хирурга | 700 pублей |
| УЗИ брюшной полости | 1 900 pублей |
| Пункция плевральной полости на дому | 6 000 pублей |
| Вызов хирурга на дом | 2 800 pублей |
Статья не является медицинским советом и не может служить заменой консультации с врачом.
Цели проведения
Торакоцентез проводят в целях диагностических и лечебных.
В первом случае определяется причина скопления жидкости, во втором –ее эвакуируют.
Говоря об онкологии, подчеркнем, что процедуру используют для устранения последствий развития онкологических очагов в плевре, средостении и бронхах.
Как уже было отмечено, значительное количество скопившейся жидкости затрудняет дыхание, ухудшает общее самочувствие человека. Процедура позволяет безопасно откачивать в сутки до полутора литров жидкости. Это помогает восстановить нормальное дыхание, повысить качество и продолжительность жизни пациента.
Диагностика плеврита
Диагностика традиционно начинается с оценки жалоб больного и его осмотра
Обращают внимание на характер дыхания, его частоту, цвет кожных покровов. Оценивают симметричность движений грудной клетки, методом аускультации (выслушивания) и перкуссии (простукивания) определяют наличие/отсутствие жидкости в плевральной полости
После объективного осмотра приступают к лабораторной и инструментальной диагностике
В перечень лабораторных исследований входит клинический и биохимический анализ крови, клинический анализ мочи, и, что самое важное, анализ плевральной жидкости
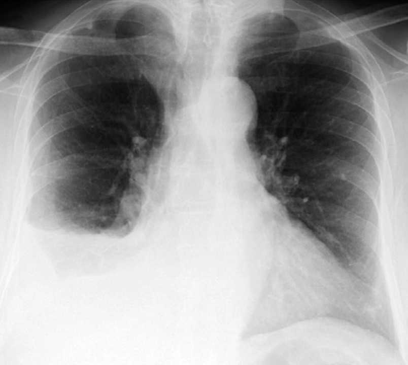
Рентген-снимок легких больного с плевритом и жидкостью в правой плевральной полости. Фото: Respiratory medicine case reports / Open-i (CC BY-NC-ND 3.0)
Плевральная пункция
Плевральную жидкость получают посредством проведения плевральной пункции. Процедура практически всегда выполняется при плевритах, поэтому полезно знать, в чем она заключается и как выполняется. Осуществляется пункция следующим образом:
- Вначале определяют границу экссудата и его объем с помощью рентгена, УЗИ и физикального обследования (перкуссии).
- Далее намечают место пункции, обрабатывают антисептиком и обкалывают его раствором анестетика.
- После анестезии осуществляют прокол грудной клетки с помощью специального троакара до попадания в плевральную полость. Обычно место прокола намечают на спине немного выше поясницы на стороне поражения
- Шприцем забирают экссудат и вводят, при необходимости, лекарственные средства.
Образец жидкости исследуют визуально, изучают его физико-химические, микроскопические и микробиологические свойства. Полученные данные дают много информации о диагнозе.
Лучевые методы исследования
Лучевые методы исследования — неотъемлемая часть диагностика при любом плеврите. Обычно проводят:
- Ультразвуковое исследование (УЗИ). Очень информативный неинвазивный метод, не дающий при этом никакой лучевой нагрузки. Позволяет определить не только объем экссудата, но также и его характер (возможность отличить серозный от гнойного). Недостатком является затруднение в обнаружении выпота, если он находится за другими образованиями, в т.ч. костными.
- Флюорография. Метод является ориентировочным и низкочувствительным. Хорошо видны на рентгенограммах только довольно объемные скопления жидкости. Лучевая нагрузка относительно невысокая.
- Компьютерная томография (КТ). Считается одним из самых чувствительных и точных методов исследования. Позволяет диагностировать минимальные объемы жидкости в плевральной полости и характер этой жидкости. Помимо этого дает возможность определить основное заболевание, приведшее к экссудации. Из недостатков: высокая лучевая нагрузка и дороговизна исследования.
Псевдохилоторакс и хилоторакс
Истинный хилоидный выпот – результат разрыва грудного протока или его вервей, что приводит к попаданию лимфы в плевральную полость. В 50% пациентов диагностируют злокачественные новообразования (чаще всего лимфомы). Травмы способствуют формированию истинного хилоидного выпота в 25% случаев. В некоторых случаях причина такого состояния – туберкулез, амилоидоз или саркоидоз.
Хилоторакс нужно отличать от псевдохилоторакса (холестеринового плеврита). Он возникает из-за скопления кристаллов холестерина в плевральном выпоте. При этом обнаруживают утолщение и фиброз плевры. Основные причинамы псевдохилоторакса – ревматоидный артрит и туберкулез. Диагностируют хилоторакса и псевдохилоторакса на основании анализа содержания в плевральной жидкости липидов.
В некоторых случаях при эмпиеме присутствует выпот молочного цвета, сходный с хилотораксом. Эти состояния различают с помощью центрифугирования. После него хилезная жидкость сохраняет молочный вид; при эмпиеме плевры образуется прозрачный супернатант, а клеточная масса оседает.
Профилактика плеврита
В отношении вопроса профилактики справедливо то же, что и для прогноза. То есть профилактика плевритов заключается в профилактике заболеваний, на фоне которых он возникает. Для каждого из таких заболеваний существуют специфические профилактические меры, но можно выделить и некоторые основные, общие моменты:
Курение — фактор риска многих легочных патологий, которые часто являются причиной плевритов. Поэтому, если избавиться от этой привычки, риск плеврита станет меньше, снизятся и шансы возникновения легочных заболеваний.
Вакцинация против распространенных возбудителей пневмонии, в частности пневмококка. Данная мера очень актуальна для людей с хроническими заболеваниями легких, у которых риск заболеть пневмонией выше, чем у других.
Онконастороженность. Людям старше 45 лет необходимо ежегодно проходить скрининговые обследования с целью диагностики опухолей на ранней стадии. Метастазы в легкие, плевру — частый вариант метастазирования различных опухолей
Вместе с профилактикой опухоли предупреждаются и карциноматозные плевриты.
Очень важно быть вакцинированным от туберкулеза. Туберкулезный плеврит — частое явление в структуре заболеваемости плевритами
Однократная вакцинация обязательно выполняется еще в роддоме, что предполагает формирование иммунитета, тем не менее во взрослом возрасте шанс заболеть присутствует. Особенно при наличии иммунодефицитов, хронических системных заболеваний и на работах с высокой частотой контактов с туберкулезными больными.
Профилактика ОРВИ и гиповитаминозов также имеет значение. Рекомендуется избегать переохлаждения, включать в рацион витаминизированную пищу, регулярно практиковать физические нагрузки.
Вторичная профилактика (профилактика рецидивов) включает те же меры, что и первичная.
Источники
- Руководство по факультетской терапии: учебное пособие / С. А. Болдуе- ва, И. В. Архаров, Е. Л. Беляева, Е. Г. Быкова, Т. В. Ермолова, М. И. Иванова, И. А. Леонова, А. П. Махнов, Н. С. Швец, О. Ю. Чижова; под ред. С. А. Болду- евой. — 3-е изд., доп. и перераб. — СПб.: Изд-во СЗГМУ им. И. И. Мечникова, 2020. — 299-310 с.
- Внутренние болезни: Учебник : В 2 т. / В.Н. Фатенков. – Самара :ООО «Офорт», 2006. – Т.1. – 129-135 с.
- П.А. Сусла, П.В. Панфилов. Плеврит. Учебное пособие. — СПб.: Издательство СЗГМУ, 2013.— 36 с.
- Черкасов В.А., Сайдаков Я.П. Экссудативный плеврит: проблемы диагностики и лечения // Пермский медицинский журнал. 2007. №3.
Причины
Причины плевритов условно можно разделить на инфекционные и асептические или воспалительные (неинфекционные).
Неинфекционные плевриты обычно возникают
- при ревматоидном артрите,
- при васкулитах (поражение сосудов),
- при ревматизме,
- при системной красной волчанке,
- при склеродермии,
- в результате тромбоэмболии легочной артерии и отека легкого,
- при инфаркте легкого,
- при матестазировании рака легкого в полость плевры,
- при первичной злокачественной опухоли плевры – мезотелиоме,
- лимфоме,
- во время геморрагических диатезов (нарушениях свертывания),
- во время лейкозов,
- при опухолевом процессе яичников, раке молочной железы как результат раковой кахексии (терминальной стадии рака),
- при инфаркте миокарда из-за застойных явлений в малом круге кровообращения.
- при остром панкреатите.
К инфекционным можно отнести:
- сифилитический или туберкулезный плеврит,
- паразитарный (эхинококковый или амебный),
- плевриты при особо опасных инфекциях (туляремийный, бруцеллезный, вызванный брюшнотифозным микробом или возникающий при сыпном тифе),
- микробные плевриты (инфицирование плевральной полости стафилококками, кишечной и синегнойной палочкой, пневмококками и т.д.)
- вирусные плевриты (возникающие при поражении вирусом гриппа, герпеса),
- грибковые плевриты (поражение плевры кандидозом, кокцидиозом, бластомикозом),
- плеврит, возникающий при ранениях или операциях на грудной клетке, из-за попадания в полость плевры микробов.
Прогноз
Прогноз плевритов благоприятный, хотя напрямую зависит от ведущего заболевания. Воспалительные, инфекционные, посттравматические плевриты успешно излечиваются, и не влияют на качество дальнейшей жизни. Разве что в течение дальнейшей жизни на рентгенограммах будут отмечаться плевральные спайки.
Исключение составляет сухой туберкулезный плеврит, в результате которого фиброзные отложения могут с течением времени обызвествляются, образуется так называемый панцирный плеврит. Легкое оказывается заключенным в «каменный панцирь», что мешает его полноценному функционированию и ведет к хронической дыхательной недостаточности.
Для профилактики образования спаек, которые образуются после удаления жидкости из плевральной полости, после лечения, когда стихнет острый период пациенту следует проводить реабилитационные процедуры — это физиотерапия, ручной и вибрационный массаж, обязательно проведение ежедневной дыхательной гимнастики (по Стрельниковой, с помощью дыхательного тренажера Фролова).
Напряженный пневмоторакс
Это патологическое состояние, которое приводит к прогрессирующему повышению внутриплеврального давления до значений выше атмосферного, во время и вдоха, и выдоха, что вызывает коллабирование легкого, смещение средостения и ухудшение венозного притока к сердцу. Воздух поступает в плевральную полость, но не выходит оттуда. Если лечения не будет, сниженный венозный приток вызовет системную гипотензию. Это значит, что сердце и дыхание остановится буквально за несколько минут.
Рассматриваемое состояние бывает у пациентов на искусственной вентиляции легких, у которых положительное давление на выдохе. Редко напряженный пневмоторакс — это осложнение пневмоторакса, когда рана грудной стенки является по сути односторонним клапаном, который не дает воздуху выйти из плевральной полости, но легко запускает его туда.
Как проводится трансторакальная биопсия легких
Пункционная биопсия
Пункционная биопсия выполняется под местной или проводниковой анестезией. Предварительно используется премедикация. Пациент располагается в положении лежа или сидя, в зависимости от локализации патологического очага. Перед пунктированием производят выбор места входа иглы на основании УЗИ, рентгена или компьютерной томографии. В идеале выбирается кратчайший путь от места прокола до исследуемой ткани. При этом игла должна идти перпендикулярно грудной клетке. Выбранная точка маркируется на коже грудной клетки.
Для забора материала может использоваться два вида игл:
- Аспирационная игла диаметром 21G. Это тонкая игла, аналогичная тем, что используются для венепункции (забора крови из вены). С ее помощью получают клеточный аспират для цитологического исследования.
- Трепанационная игла. Ее диаметр больше, 14G. Внутри нее располагается мадрен (специальная заглушка). Когда игла войдет в ткань новообразования, мадрен извлекается, и в просвет иглы вводится стилет с расщепленным концом, с помощью которого отщипываются кусочки ткани. Таким образом получают материал для гистологического исследования.
Во время забора материала пациента просят задержать дыхание, не шевелится и не кашлять. После этого иглу извлекают и на место прокола накладывают повязку. Сразу после процедуры или в течение суток после нее проводится контрольный рентген грудной клетки для исключения пневмоторакса.
Открытая биопсия с помощью малой торакотомии
Такая биопсия является полноценной операцией и проводится под общим наркозом. Все манипуляции проводятся через разрез, длина которого может достигать 8 см. Располагается он в 3-4 межреберье. На участок легкого, из которого будут брать биопсию, накладывают шов или скобы, после чего производят отсечение ткани органа. Открытая биопсия путем торакотомии является травматичным вмешательством, но ее преимуществом является возможность визуального контроля и изъятия большого фрагмента ткани. После всех манипуляций в рану устанавливают дренаж, а на место разреза накладывается шов и стерильная повязка.

Торакоскопическая биопсия
В этом случае манипуляции проводятся через три небольших прокола грудной стенки. В них вводится видеокамера и специальные инструменты. Камера выводит на экран увеличенное изображение, что позволяет контролировать весь процесс, а с помощью инструментов производится забор материала.
Преимуществом данного вида биопсии является низкий риск осложнений (по сравнению с открытой торакотомией), малая травматичность, быстрое восстановление пациента и хороший косметический результат. При этом сохраняется возможность забора материала под непосредственным визуальным контролем.
Возможные осложнения трансторакальной биопсии
- Пневмоторакс — скопление воздуха или газа в плевральной полости. Чаще встречается после пункционной биопсии. Его симптомом является боль в груди и затруднение дыхания. Небольшой пневмоторакс обычно разрешается самостоятельно. Но в тяжелых случаях он может привести к снижению давления и развитию острой дыхательной недостаточности. Тогда требуется эвакуация воздуха. Обычно это выполняют с помощью шприца.
- Кровохарканье — примеси крови в мокроте. Обычно не представляет угрозы жизни пациента и не требует вмешательства врача.
- Легочное кровотечение. Симптомом этого осложнения является кашель с мокротой, в которой имеются примеси алой пенистой крови. На фоне этого у пациента отмечается одышка, может быть кровотечение из носа или горла. В рамках лечения выполняют бронхоскопию или повторную операцию с проведением гемостаза.
В «Евроонко» биопсию легких выполняют высококвалифицированные врачи на оборудовании экспертного класса. Предпочтение отдается малоинвазивным методикам. Это позволяет снизить вероятность развития осложнений и скорее восстановиться пациенту. Стоимость исследования уточняйте у специалистов нашей клиники.
Запись на консультацию круглосуточно
+7 (495) 151-14-53+7 (861) 238-70-54+7 (812) 604-77-928 800 100 14 98
Дренирование плевральной полости при пневмотораксе

Дренирование плевральной полости или операция торакоцентеза — врачебная манипуляция, которая проводится путем прокола стенки грудной клетки и удаления воздуха или патологического содержимого из плевральной полости. Применяется этот способ лечения при осложненном течении заболеваний легких и плевры.
Плевральные полости — щелевидные пространства, ограниченные листками париетальной (пристеночной) и висцеральной (органной) плеврой. В основе торакоцентеза лежит пункция плевральной полости, которая имеет не только лечебный, но и диагностический смысл. Во время процедуры аспирируется (отсасывается) скопившиеся воздух, экссудат, кровь.
Симптомы
Клиническая картина плеврита делится на сухую и экссудативную.
Симптомы экссудативного плеврита:
- общее недомогание, вялость, субфебрильное повышение температуры тела;
- боль в груди, одышка усиливаются, постепенное повышение жара – так происходит из-за коллапса легкого, органы средостения сдавливаются.
Острый серозный плеврит обычно имеет туберкулезное происхождение, характеризуется тремя стадиями:
- В начальном периоде (экссудативном) отмечается сглаживание или даже выбухание межреберного пространства. Органы средостения смещаются в здоровую сторону под воздействием большого количества жидкости в плевральной щели.
- Период стабилизации характерен уменьшением острых признаков: температура падает, боли в груди и одышка проходят. На данном этапе может проявиться плевральное трение. В острой фазе анализ крови показывает большое скопление лейкоцитов, которое постепенно приходит в норму.
- Часто бывает, что жидкость накапливается над диафрагмой, поэтому при вертикальном рентгене ее не видно. В этом случае необходимо произвести исследование в позиции на боку. Свободная жидкость легко перемещается в соответствии с положением туловища больного. Зачастую ее накопления сконцентрированы в щелях между долями, а также в области купола диафрагмы.
Симптомы сухого плеврита:
- грудная боль;
- общее нездоровое состояние;
- сухое покашливание;
- субфебрильная температура тела;
- локальные боли (в зависимости от места поражения);
- при пальпации ребер, глубоком дыхании, кашле болевые ощущения усиливаются.
В остром течение заболевания врач аускультативным путем диагностирует плевральный шум, который не прекращается после надавливания стетоскопом или кашля. Сухой плеврит, как правило, проходит без каких-либо негативных последствий – разумеется, при адекватном алгоритме лечения.
Гнойный плеврит вызван попаданием гноя в плевральную полость, где он имеет тенденцию к накапливанию. Следует учесть, что нетуберкулезная эмпиема относительно благополучно поддается лечению, однако при неадекватном алгоритме действий может перейти в более сложную форму. Туберкулезная эмпиема протекает тяжело, может быть хронической. Больной значительно теряет в весе, задыхается, испытывает постоянный озноб, мучается приступами кашля. Кроме того хроническая форма данной разновидности плеврита вызывает амилоидоз внутренних органов.
В случае не оказания оптимальной помощи возникают осложнения:
- остановка дыхания;
- разнесение инфекции по всему организму с током крови;
- развитие гнойного медиастинита.
Порядок действий
Дренирование начинается с подготовки двух дренажных трубок с отверстиями, которые на конце имеют специальные срезы. Врач усаживает пациента, наклоняет его корпус немного вперёд, фиксирует положение с помощью стула или любого другого предмета. Забор пункции производится на участке 4-го межреберья. Её консистенция определяет тип катетера, который будет использоваться при манипуляции:
Техника дренирования плевральной полости
- при наличии воздуха используют небольшие трубки;
- слизь удаляется средним катетером;
- для вытяжки кровяных сгустков и гноя используют большие трубки.
Дальше катетер пропускается к грудному отделу, на него накладывают шов и фиксируют повязкой. В сосуд с водой опускают другой конец. Чтобы проверить правильность установки, необходимо выполнить рентген.
Если суточный отвод не превышает 100 мл, наружный конец трубки опускается в ёмкость с водой. Затем пациент делает глубокий вдох и медленный выдох, а специалист тем временем вытягивает трубку. К месту ввода прикладывается марля, смоченная в масле.
Лечение при скоплении плевральной жидкости
Жидкость в плевральной полости является следствием других заболеваний, поэтому лечение также зависит от первопричины.
Если имеется большое количество жидкости, вызывающей дискомфорт и нарушение дыхания, ее следует удалить проколом или дренировать.
Уровень жидкости, вызванный приемом лекарств, невысок. Если есть подозрение на фармакологическое происхождение жидкости, обычно эффективно прекращение приема препарата (прокаинамид гидралазин, хинидин, нитрофурантоин, кордарон, прокарбазин, метотрексат и т. д.). Такое состояние не требует дальнейшего вмешательства.
В случае гнойной жидкости с pH меньше 7,2, если она инкапсулирована или обнаружены бактерии, необходимо срочное удаление толстым дренажем. У дренированных пациентов при адекватном антибактериальном лечении состояние обычно улучшается в течение недели.
Если по прошествии недели большое количество жидкости остается или увеличивается, что показывает УЗИ или другие методы, следует рассмотреть возможность дренирования плевральной полости и оценить другие причины появления жидкости. Пневмония может быть связана с опухолевым процессом или туберкулезом. В этом случае рекомендуется компьютерная томография.
Жидкость, выделяемая у онкологических больных, обычно является признаком прогрессирования процесса. Средняя выживаемость таких пациентов составляет около 1 года.
Жидкость обычно диагностируется впервые при развитии медленно прогрессирующей одышки. Поскольку этот процесс протекает медленно, пациенты объясняют эти недомогания основным заболеванием и обращаются за помощью, когда уровень жидкости очень высок.
После удаления жидкости пациент чувствует себя намного лучше. Правда, улучшение временное. Жидкость рецидивирует в течение 2-3 недель. Для удаления жидкости производятся повторные проколы плевральной полости. Было замечено, что жидкость лучше удаляется, если применяется плевральный дренаж. Иногда длительное дренирование приводит к самопроизвольному разрастанию плевральной полости. Это альтернатива плевродетической хирургии.
Туберкулезная жидкость обычно проходит спонтанно при адекватной противотуберкулезной терапии.
Показания к плевральному дренированию
Основным показанием к дренированию является повреждение грудного отдела, из-за чего в плевральной полости начинает скапливаться гной, кровь или экссудат. Чаще всего это происходит после хирургического вмешательства. В таком случае дренажная трубка находится в грудине до тех пор, пока жидкость не исчезнет полностью.
Введение дренажной трубки может потребоваться также при наличии таких факторов:
- скопление воздуха между лепестками плевры;
- эмпиема (скопление гноя);
- плевральные выпоты злокачественного характера;
- доброкачественные плевральные выпоты (обильные или повторные);
- пневмоторакс и гидроторакс.
Введение дренажной трубки может потребоваться при пневмотораксе
Причины патологии
Медицинская практика показывает, что причинами образования плевритов в полости плевры довольно часто являются те или иные формы онкологических патологий, чаще – рака легкого.
Нормально функционирующие плевральные листки каждый час выделяют около 100 мл жидкости, способной помочь свободному движению лёгкого при дыхании. Лимфатические сосуды, пронизывающие плевру, всасывают жидкость. Поэтому рентгенография не обнаруживает экссудата в полости плевры у здорового человека.
Если же равновесие между скоростью выделения плевральной жидкости и ее всасывания нарушается, то это приводит к образованию плеврита. Часто они – сигналы распространения первичной онкологии лёгкого на плевральные листки либо, если речь идет о раке других органов, сигналы проникновения в плевру метастазов.
Развитие раковой опухоли способствует циркуляции оторвавшихся атипичных клеток в кровеносном русле, часть из которых прикрепляется к плевральным листкам.
Метастазы в листках плевры провоцируют обструкцию лимфососудов, вследствие чего всасывание жидкости из грудной полости нарушается.
Опухоль сосудов лимфатической системы также вносит дисбаланс в нормальную транспортировку жидкости по лимфатическому руслу. Лимфатические узлы, засоренные атипичными клетками, перестают выполнять функцию насоса. Если опухоль поражает легочную паренхиму, скорее всего, произойдет попадание жидкости в полость груди вследствие повышения гидростатического давления.
Все описанное может проявляться одновременно, возможно и превалирование одного над другим. От этого будет зависеть выбор лечебной тактики.
Конечно же, появление плеврита не всегда обусловлено раковым заболеванием. Он может возникнуть без повреждения листов плевры, например, при доброкачественных опухолях яичников. В подавляющем большинстве случаев специальное лечение не требуется, плеврит проходит сам при удалении яичника, измененного новообразованием.
Интенсивность накопления жидкости может быть разной: от нескольких трех дней до нескольких недель образуется клинически ощутимый литр. Почему клинически ощутимый? Меньший объем скопившейся жидкости, как правило, человека не беспокоит. Когда жидкости примерно литр, происходит уменьшение объёма полости груди. Легким невозможно полностью расправляться, начинает «поджимать» сердце, так как сокращения даются ему сложнее. Впоследствии возникают:
- Недостаточность полноты вдоха;
- Утяжеленное сердцебиение;
- Сухой кашель;
- Отёки ног;
- Одышка.






























